Imaš vijest?
Imaš informaciju iz prve ruke, fotografiju, video, dobru ideju ili te nešto muči?
PODIJELI S NAMA!45 članaka
Medicinska sestra otvoreno priča o bolesti
Tribunjka Mikica o borbi s rakom dojke: ‘Kad sam dobila dijagnozu prvo sam pomislila kako će moj Jere s dva kredita’
Prvi put u Hrvatskoj
U susjednoj nam županiji potvrđena kuga malih preživača
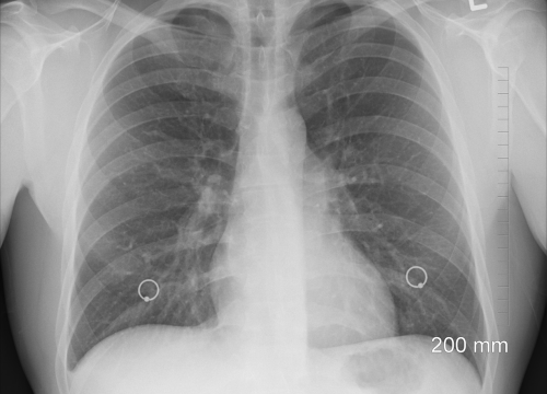
KOPB
U Hrvatskoj 1700 smrtnih slučajeva godišnje zbog plućnih bolesti
Tiha bolest
Ova bolest mijenja raspoloženje i težinu, a većina oboljelih ne zna da je ima
'Taj kašalj možda nije Covid'
Opaka bolest u porastu, izdali upozorenje građanima
Nakon kratke bolesti
Preminuo je Halid Bešlić
Zdravstveni problemi
Stalno vam je hladno? Možda nije do vremena, nego do zdravlja
'Uvijek s osmijehom na licu'
Preminuo je Josip Jukić, mladić iz Razvođa čija je borba s teškom bolesti dotaknula srca mnogih
WHO
Brojne bolesti nastaju kao posljedica usamljenosti
Zbog rastućeg javnozdravstvenog rizika
Liječnici traže obavezne zdravstvene preglede za strane radnike
Željka, Kristina, Nevenka, Snježana
Šibenčanke s multiplom sklerozom podijelile su svoje priče: 'Odlučila sam da mi bolest neće oduzeti ono što ja jesam'
Razbolio se
Mačak Mile s 'Trga 4 štekata' osvojio je svačija srca, ali sada mu je potrebna vaša pomoć
'Plin za cent'
Zbog bolesti Dane Škugora odgođena sjednica optužnog vijeća
Kardiolog upozorava
Ove svakodnevne navike neprimjetno štete srcu
Sve ozbiljnija situacija
Izvanredno stanje u europskoj zemlji, zbog opasne bolesti zatvorili granice
Hrstić
Inspekcija istražuje smrt mladića s Lastova
Oslabljen
Papa u poruci napisao da se 'suočava s kušnjom'
Jesu li tvoji bubrezi ok?